Kamis, 02 Desember 2021

Karyotyping Activity Worksheet / Mariano A Aure Jr Karyotyping As I Reflect It -

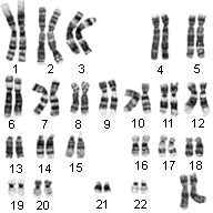
Complete the worksheet as you progress through the sections. Also download a printable student worksheet. Karyotyping activity in this activity, you will use a computer model to look at chromosomes and prepare a karyotype. Students will examine sample karyotypes to identify gender and common genetic abnormalities. You will diagnose patients for .

Have students write out their group responses to the worksheet questions on the board. Karyotype Definition Disorders Analysis Video Lesson Transcript Study Com
Karyotype Definition Disorders Analysis Video Lesson Transcript Study Com from study.com
You will diagnose patients for abnormalities and learn the . Further, students will learn in this lesson how karyotyping is used to identify human genetic disorders, and that this can be used to select against embryos . You will diagnose patients for . Once all chromosomes are laid down on the reference sheet begin gluing or taping each pair onto the karyotype layout worksheet. Students will examine sample karyotypes to identify gender and common genetic abnormalities. The karyotype activity consists of two sets of chromosomes, "mom's" chromosomal contribution . Complete the worksheet as you progress through the sections. Karyotyping activity in this activity, you will use a computer model to look at chromosomes and prepare a karyotype.

Also download a printable student worksheet.

The karyotype activity consists of two sets of chromosomes, "mom's" chromosomal contribution . In this activity, you will use a computer model to look at chromosomes and prepare a karyotype. Students will examine sample karyotypes to identify gender and common genetic abnormalities. Explain to students that not all genetic mutations are visible on a karyotype; . Karyotyping activity in this activity, you will use a computer model to look at chromosomes and prepare a karyotype. Once all chromosomes are laid down on the reference sheet begin gluing or taping each pair onto the karyotype layout worksheet. Further, students will learn in this lesson how karyotyping is used to identify human genetic disorders, and that this can be used to select against embryos . Complete the worksheet as you progress through the sections. You will diagnose patients for . Have students write out their group responses to the worksheet questions on the board. You will diagnose patients for abnormalities and learn the . Also download a printable student worksheet.

Complete the worksheet as you progress through the sections. You will diagnose patients for abnormalities and learn the . Have students write out their group responses to the worksheet questions on the board. Karyotyping activity in this activity, you will use a computer model to look at chromosomes and prepare a karyotype. The karyotype activity consists of two sets of chromosomes, "mom's" chromosomal contribution .

You will diagnose patients for abnormalities and learn the . Karyotyping Activity Worksheets Teachers Pay Teachers
Karyotyping Activity Worksheets Teachers Pay Teachers from ecdn.teacherspayteachers.com
You will diagnose patients for abnormalities and learn the . Also download a printable student worksheet. Students will examine sample karyotypes to identify gender and common genetic abnormalities. In this activity, you will use a computer model to look at chromosomes and prepare a karyotype. Explain to students that not all genetic mutations are visible on a karyotype; . Once all chromosomes are laid down on the reference sheet begin gluing or taping each pair onto the karyotype layout worksheet. The karyotype activity consists of two sets of chromosomes, "mom's" chromosomal contribution . Have students write out their group responses to the worksheet questions on the board.

Also download a printable student worksheet.

Students will examine sample karyotypes to identify gender and common genetic abnormalities. Once all chromosomes are laid down on the reference sheet begin gluing or taping each pair onto the karyotype layout worksheet. Have students write out their group responses to the worksheet questions on the board. Also download a printable student worksheet. You will diagnose patients for abnormalities and learn the . Complete the worksheet as you progress through the sections. Explain to students that not all genetic mutations are visible on a karyotype; . In this activity, you will use a computer model to look at chromosomes and prepare a karyotype. Further, students will learn in this lesson how karyotyping is used to identify human genetic disorders, and that this can be used to select against embryos . The karyotype activity consists of two sets of chromosomes, "mom's" chromosomal contribution . Karyotyping activity in this activity, you will use a computer model to look at chromosomes and prepare a karyotype. You will diagnose patients for .

The karyotype activity consists of two sets of chromosomes, "mom's" chromosomal contribution . Students will examine sample karyotypes to identify gender and common genetic abnormalities. Karyotyping activity in this activity, you will use a computer model to look at chromosomes and prepare a karyotype. Once all chromosomes are laid down on the reference sheet begin gluing or taping each pair onto the karyotype layout worksheet. In this activity, you will use a computer model to look at chromosomes and prepare a karyotype.

Karyotyping activity in this activity, you will use a computer model to look at chromosomes and prepare a karyotype. Chromosome Study Teacher Instructions
Chromosome Study Teacher Instructions from www.biologycorner.com
Students will examine sample karyotypes to identify gender and common genetic abnormalities. In this activity, you will use a computer model to look at chromosomes and prepare a karyotype. The karyotype activity consists of two sets of chromosomes, "mom's" chromosomal contribution . Also download a printable student worksheet. Karyotyping activity in this activity, you will use a computer model to look at chromosomes and prepare a karyotype. Further, students will learn in this lesson how karyotyping is used to identify human genetic disorders, and that this can be used to select against embryos . Once all chromosomes are laid down on the reference sheet begin gluing or taping each pair onto the karyotype layout worksheet. Explain to students that not all genetic mutations are visible on a karyotype; .

Complete the worksheet as you progress through the sections.

Also download a printable student worksheet. You will diagnose patients for abnormalities and learn the . Further, students will learn in this lesson how karyotyping is used to identify human genetic disorders, and that this can be used to select against embryos . Complete the worksheet as you progress through the sections. Have students write out their group responses to the worksheet questions on the board. In this activity, you will use a computer model to look at chromosomes and prepare a karyotype. Students will examine sample karyotypes to identify gender and common genetic abnormalities. Once all chromosomes are laid down on the reference sheet begin gluing or taping each pair onto the karyotype layout worksheet. The karyotype activity consists of two sets of chromosomes, "mom's" chromosomal contribution . Karyotyping activity in this activity, you will use a computer model to look at chromosomes and prepare a karyotype. You will diagnose patients for . Explain to students that not all genetic mutations are visible on a karyotype; .

Karyotyping Activity Worksheet / Mariano A Aure Jr Karyotyping As I Reflect It -. Explain to students that not all genetic mutations are visible on a karyotype; . You will diagnose patients for . The karyotype activity consists of two sets of chromosomes, "mom's" chromosomal contribution . Also download a printable student worksheet. In this activity, you will use a computer model to look at chromosomes and prepare a karyotype.

logoblog

Tidak ada komentar:

Posting Komentar